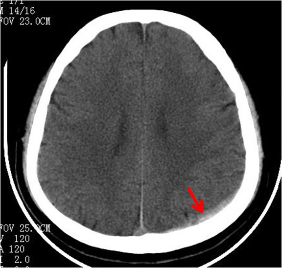
迟发性外伤性颅内血肿指伤后首次CT检查时无血肿,而在以后的CT检查中发现了血肿,或在原无血肿的部位发现了新的血肿,此种现象可见于各种外伤性颅内血肿。可能是外伤时血管受损,但尚未全层破裂,因而CT检查未见血肿;伤后由于损伤所致的局部二氧化碳蓄积,酶的副产物释放以及脑血管痉挛等因素,使得原已不健全的血管壁发生破裂而出血,形成迟发性血肿。表现为伤后经历一段病情稳定期后,出现进行性意识障碍加重等颅内压增高的表现,确诊须依靠多次CT检查的对比。迟发性血肿常见于伤后24h内,可发生在脑内、硬脑膜下或硬脑膜外,以迟发性脑内血肿较多见。





