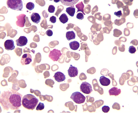
骨髓幼红细胞增生活跃,以中、晚幼红细胞增生为主,各期红细胞均较小。胞质含量少,染色偏蓝,胞质成熟落后于胞核。粒细胞系和巨核细胞系一般正常。
关注我们
公司简介
联系我们
新闻资讯
会员专区
注册会员
找回/修改密码
会员中心
服务支持
在线投稿
样书申请
资源下载
公众号
在线客服
QQ:1017641350
工作日: 08:30-17:30