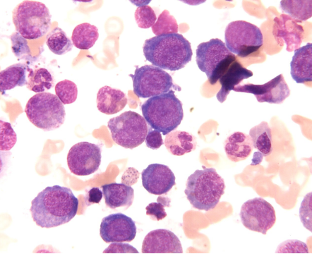
骨髓象增生明显活跃,以红细胞系统增生为主,粒、红系均巨幼变,胞体变大,核浆发育不一,中性粒细胞和巨核细胞核分叶过多。
关注我们
公司简介
联系我们
新闻资讯
会员专区
注册会员
找回/修改密码
会员中心
服务支持
在线投稿
样书申请
资源下载
公众号
在线客服
QQ:1017641350
工作日: 08:30-17:30